La Surface Oculaire
La surface oculaire est une entité anatomo-physiologique de l’œil, constituée de l’ensemble paupières, conjonctive, cornée et film lacrymal qui la recouvre. Cette couche de larmes, déclinée en 3 couches superposées mais continues, assure la trophicité de la surface oculaire, sa lubrification, son immunité, sa barrière mécanique et une clarté visuelle.
Le dysfonctionnement de cette surface altère la qualité et la quantité de ce film de larmes et engendre plusieurs maladies :
- La sécheresse oculaire (syndrome sec) :
L’œil sec est une maladie multifactorielle des larmes et de la surface oculaire, entrainant des symptômes d’inconfort, d’une gêne visuelle et une instabilité lacrymale, avec un risque d’atteinte de la surface oculaire.il s’accompagne d’une augmentation de l’osmolarité du film lacrymal et d’une inflammation de l’unité fonctionnelle que constitue la surface oculaire.
Les causes de l’œil sec sont multiples et intriqués : insuffisance de production, anomalies hormonales (ménopause), l’inflammation de paupières (blépharite), le port des lentilles de contact, le travail excessif sur les écrans, l’allergie, les conjonctivites et les kératites virales, les maladies générales (rhumatismes, diabètes…), et enfin des causes traumatiques et toxiques comme les médicaments (antidépresseurs, anxiolytiques…), et les gouttes oculaires contenants des conservateurs utilisés sur de longues durées , anti-glaucomateux essentiellement.
Le diagnostic est fait par un interrogatoire précis relevant les plaintes et la gêne ressenties : évalué par l’OSDI (Ocular Surface Disease Index).
L’examen clinique, associé à une analyse moderne et objective de la section lacrymale qualitative et quantitative par l’appareil Lacridiag (analyse des glandes de Meibomius des paupières, la rupture du film lacrymal NI-BUT, interférométrie et volume des larmes), confirme la sécheresse, classe le degré de sévérité, et apprécie l’efficacité des traitements.
Le traitement est basé sur les larmes artificielles, le traitement des blépharites, de la cause locale ou générale, les anti-inflammatoires, le cyclosporine, la PRP (plasma riche en plaquettes), et dans les cas plus sévères une chirurgie peut être envisageable comme la greffe de la membrane amniotique.
Ces dernières années sont apparues des systèmes de traitement de l’œil sec basés sur la lumière pulsée : IPL dont le LacryStim, très bonne efficacité avec amélioration du confort des patient.
LacryDiag
- L’allergie oculaire :
Les conjonctivites allergiques sont très fréquentes, et de sévérité variable. Elles vont de la simplicité ; de la conjonctivite mimique chronique perannuelle jusqu’à la kérato-conjonctivite vernale de l’enfant et l’atypique de l’adulte, en passant par la conjonctivite aigue saisonnière.
Les conjonctivites allergiques doivent être bien pris en charge et éviter l’automédication, en particulier par les corticoïdes générateurs de complications graves tel le glaucome, la cataracte, l’œil sec, et la sensibilité aux infections comme l’herpès oculaire.
Cette prise en charge passe d’abord par une éducation à la santé visuelle, et bien mettre au courant les patients sur les méfaits de l’automédication, l’importance de gérer le coté psychologique émotionnel, et aussi le danger des frottements énergiques des yeux dues aux démangeaisons. Les traumatismes répétés des frottements sont maintenant un facteur primordial dans la genèse du kératocône, déformation de la cornée chez les enfants et les jeunes adultes.
- Les blépharites, les chalazions :
Le Blephex est un dispositif de traitement du bord libre des paupières, enlèvent toutes les sécrétions, croutes et squames, il stérilise les paupières des bactéries, du staphylocoque et parasites demodex, les vibrations du Tip vides les glandes enflammées et engorgées de sécrétions solides avec une relance d’une meilleure sécrétion de larmes.
Les chalazions qui ne répondent pas à une pommade antibiotique/corticoïde, sont évacués par voie interne conjonctivale sous anesthésie locale, un traitement de fond de la blépharite sous jasent est nécessaire pour éviter les récidives et les complications cornéennes.

Photo MGD

Photo chalazion
Photo BlephEx
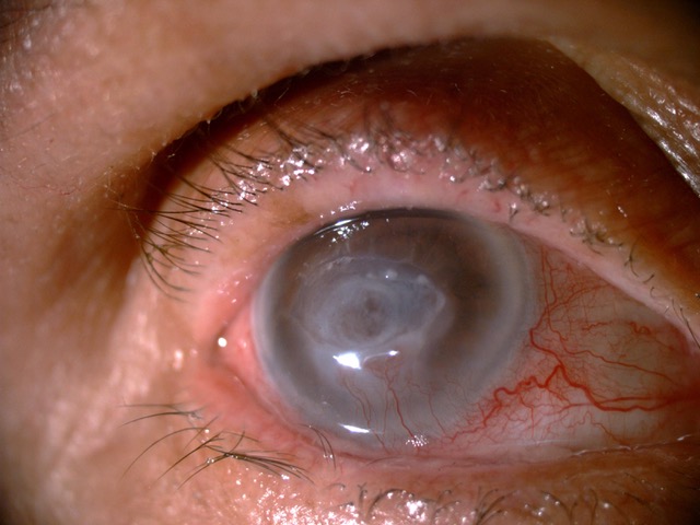
- Les ulcères de cornée :
On appelle ulcère cornéen toute perte des couches antérieures de la cornée (épithélium cornéen), associée à une atteinte du stroma cornéen sous jasent.
Les causes sont multiples : traumatiques, infectieuses (bactériennes, virales, mycosiques, parasitaires), par brulure physique ou chimique, sur sécheresse et pathologie de la surface oculaire, ou bien par anesthésie cornéenne (perte de la sensibilité cornéenne) responsable d’un ulcère chronique type trophique.

Photo ulcère de cornée

Photo de la hotte






